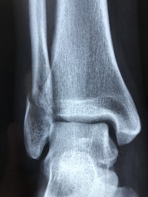
발목 X선 촬영은 발목 관절의 구조와 상태를 평가하기 위한 중요한 검사입니다. 전후 방향 검사, 사방향 검사, 측 방향 검사 등 다양한 촬영 방법을 통해 정강뼈, 종아리뼈, 목말뼈 및 발꿈치뼈의 상태를 관찰할 수 있습니다. 각 촬영 방법은 발목의 골절, 탈구 및 연부조직 손상을 진단하는 데 필요한 정보를 제공합니다. 따라서 발목 X선 촬영을 통해 발목 부위의 통증이나 손상 원인을 규명한 후, 적절한 치료 계획을 결정합니다. 이번 글에선 발목 X선 촬영 방법에 대해 알아보겠습니다.

전후 방향 검사
검사 목적
발목관절의 앞면 부와 정강뼈, 종아리뼈 먼쪽부분, 목말뼈 몸쪽 부분을 관찰할 수 있습니다. 정강종아리관절은 여기서는 분리되어 나타나지 않습니다.
검사 방법
환자는 바로 누운 자세로 합니다.
머리맡에 베개를 놓아 편안한 자세로 하며, 다리는 충분히 펴게 합니다. 지지물을 무릎 아래 놓아 환자의 다리를 편안하게 합니다.
발목관절의 위치를 상 수용체의 중앙에 있도록 조정하고 상 수용체의 장축과 다리의 장축이 일치하도록 합니다.
발을 잡아당겨 발바닥이 상 수용체와 수직이 되도록 하고 발바닥 쪽을 지지물로 받칩니다.
발과 발목이 정확한 전후 자세가 되도록 하여 발바닥은 수직이고 다리는 회전되지 않아야 하며, 양쪽 복사를 이은 선은 상 수용체와 평행이 되도록 합니다.
중심 X선은 양쪽 복사 사이 중앙 지점을 향해 상 수용체 중심에 수직으로 입사한 X선관 초점-영상 면 사이 거리는 100cm로 합니다.
조사 범위 범위는 정강·종아리뼈 먼쪽부분과 발허리뼈 몸쪽 부분이 포함되고, 골반부를 차폐하여 생식샘을 보호합니다.
영상의 평가
발목관절 중심이 상 수용체 중앙에 나타나고, 정강·종아리뼈 먼쪽부분과 종아리뼈의 몸쪽 부분이 포함되어야 합니다.
발목관절의 안쪽 윗부분은 반드시 분리되어 나타나 talotibial joint가 나타나고, 바깥쪽 목말뼈 모서리와 비골 먼쪽부분은 겹쳐서 나타납니다.
종아리뼈 먼쪽부분의 1/2 이상이 정강뼈의 안쪽과 중복되며, 안쪽·바깥쪽 복사와 목말뼈, 정강, 종아리뼈 먼쪽부분, 연부조직을 볼 수 있는 최적 조건이 되어야 합니다.
환자는 움직이지 않고 알맞은 촬영 조건으로 뼈 미세구조가 선명하고 깨끗하게 나타나야 합니다.
전후 사방향 검사
검사 목적
발목관절 앞면 상을 볼 수 있습니다.
검사 방법
환자의 머리를 베개로 받쳐 바로 누운 자세로 합니다. 촬영 반대쪽 다리를 충분히 구부리고 촬영 쪽은 편안한 자세로 지지물을 무릎 밑에 받쳐 다리를 편안하게 합니다.
골반부 위에 차폐물을 놓아 생식샘을 차폐합니다.
발목관절의 위치를 상 수용체 중심에 두고, 상 수용체의 장축과 다리의 장축이 일치되도록 발을 뒤로 잡아당겨 발바닥이 상 수용체에 수직이 되게 하고, 만약을 방지하여야 할 경우라면 고정물로 발을 고정합니다.
안쪽 복사와 가쪽복사를 이은 선이 상 수용체와 평행이 되게, 다리와 발은 약 15도에서 20도 안쪽으로 기울입니다. 중심 X선은 안쪽 복사와 가족 복사 사이 중앙 지점을 향해 상 수용체 중심을 향하여 수직으로 입사합니다.
X선관 초점-영상 면 사이 거리(SID)는 보통 100cm로 합니다.
조사 범위 범위는 정강·종아리뼈 먼쪽부분과 발허리뼈 몸쪽 부분을 포함하고, 옆면은 연부조직이 포함되도록 조사 범위를 조절합니다.
발목의 수술(reduction surgery) 때에도 이 촬영을 많이 이용합니다.
영상의 평가
조사 범위 중심에 발목관절이 나타나고 정강, 종아리뼈의 먼쪽부분과 발허리뼈 포함되어야 합니다.
정강뼈와 목말뼈 사이, 종아리뼈와 목말뼈 사이, 먼 쪽 정강종아리관절 전체가 겹치지 않고 분리되어 나타나야 하며, 먼 쪽 정강종아리관절 공간은 조금 겹칠 수 있습니다.
목말뼈와 정강·종아리뼈 먼쪽부분은 농도가 적당하고 연부조직을 잘 볼 수한 촬영 조건이야 합니다.
움직이지 않고, 알맞은 조건으로 뼈 미세구조가 선명하고 깨끗하게 나타나야 합니다.
사방향 검사
검사 목적
먼 쪽 정강종아리관절과 먼 쪽 종아리뼈, 바깥쪽 복사를 자세히 관찰할 수 있습니다.
검사 방법
환자는 바로 누운 자세로 하고, 머리에 베개를 받쳐 편안한 자세로 합니다.
촬영 반대쪽 다리는 충분히 구부리고 촬영 쪽 다리는 무릎아래 지지물로 무릎 밑을 받쳐 환자의 다리를 편안하게 합니다.
골반부를 차폐하여 생식샘을 보호합니다.
발목관절의 위치가 상 수용체 중심에 있도록 하고 상 수용체의 장축과 다리의 장축을 일치하도록 한 후, 발을 잡아당겨 상 수용체와 발바닥이 수직에 가깝게 하고 발을 지지합니다.
발과 다리를 안쪽으로 45도 기울인다. 상 수용체와 발 사이가 45도로 되고, 무릎 양쪽 위관절융기 사이를 이은 선과 상 수용체가 이루는 각도가 45도가 되게 합니다.
중심 X선은 안쪽·바깥쪽 복사 사이 중앙점을 향해 상 수용체 중앙을 향하여 수로 입사합니다.
X선관 초점-영상 면 사이 거리는 약 100cm로 합니다.
조사 범위 범위는 정강·종아리뼈 먼쪽부분과 발허리뼈 몸쪽 부분을 포함하고 옆면은 피부가 포함되게 합니다.
대체 측 사방향 촬영
목말뼈와 발꿈치뼈 관절 부위와 미묘한 골절을 관찰하고자 할 때 측면 바깥쪽 사방향 촬영하여 다리의 장축과 발을 바깥쪽으로 45도 회전합니다.
영상의 평가
Mid ankle joint가 상 수용체 중심에 나타나고 정강·종아리뼈 먼쪽부분과 발허리뼈 몸쪽 부분이 포함되어야 합니다.
보통 발목은 정강종아리관절 먼쪽부분 사이가 주로 열려있지만 조금 겹칠 종아리뼈, 정강뼈 먼쪽부분이 목말뼈와 약간 겹칠 때도 있습니다.
적절한 노출로 연부조직, 안쪽·바깥쪽 복사, 목말뼈 그리고 정강·종아리뼈 먼쪽부분이 보여야 합니다.
움직임 없이 알맞은 촬영 조건으로 뼈 미세구조가 선명하고 깨끗하게 나타나야 합니다.
측 방향 검사
검사 목적
측면 상에서 먼 쪽 종아리뼈와 정강뼈, 발목관절, 목말뼈와 발꿈치뼈를 관찰할 수 있습니다.
검사방법
촬영 쪽을 밑으로 하여 옆으로 눕히고, 머리에 베개를 받쳐 편안한 자세로 합니다.
촬영 쪽 무릎을 약 45° 기울이고, 반대쪽 다리는 촬영 쪽 다리 뒤에 놓는다. 골반부를 차폐하여 생식샘을 보호합니다.
내·외 측 방향 촬영
발목관절을 상 수용체 중앙에 두고 상 수용체 장축과 다리 장축을 일치시키고, 필요에 따라 무릎아래 지지물을 놓고, 다리와 발은 바른 측면 자세로 합니다.
종아리뼈 먼쪽부분의 바깥쪽 복사는 정강뼈 먼쪽부분 안쪽보다 약 15도에서 20도 뒤에 위치하고 발을 뒤로 당겨서 발이 다리와 직각 되게 하고, 환자는 가능한 참을 수 있도록 하여 바른 측면 자세를 유지해야 합니다.
중심 X선은 안쪽복사를 통해 상 수용체 중앙에 수직으로 입사합니다.
X선관 초점-영상 면 사이 거리는 약 100cm로 촬영합니다.
조사 범위 범위는 정강뼈, 종아리뼈 먼쪽부분과 발허리뼈 중간 부분과 연부조직이 포함되어야 합니다.
외·내 측 방향 촬영
외·내측 촬영은 역시 환자가 편하게 누울 수 없을 때 시행하며, 반대쪽으로 누워 편안하게 위치를 조정합니다.
영상의 평가
발목관절 중앙이 상 수용체 중앙에 나타나야 하며, 거퇴관절 윗부분 관절 사이가 균일하게 분리되어 나타나야 합니다.
바깥쪽 복사와 종아리뼈 먼쪽부분은 정강뼈 뒤쪽 1/2 또는 1/3, 목말뼈 뒤쪽 반과 겹쳐 나타나며, 목말뼈와 발꿈치뼈 전체가 보이고 인접한 발목뼈가 보여야 합니다.
적절한 노출로 종아리뼈 먼쪽부분의 윤곽과 연부조직이 선명하게 관찰되고, 모든 뼈의 미세구조와 면이 선명하게 보여야 합니다.
'방사선' 카테고리의 다른 글
| 목뼈의 촬영 방법 (0) | 2024.10.02 |
|---|---|
| 허리의 X선 촬영 방법 (0) | 2024.05.29 |
| 어깨의 X선 촬영 방법과 Physical examination (0) | 2024.05.20 |
| 팔꿈치의 다양한 촬영 방법 (0) | 2024.05.07 |
| 손과 손목의 촬영 방법 (0) | 2024.05.05 |